When it comes to orthodontic treatment, one common question patients ask is, “Will my wisdom teeth affect my braces or aligners?” Wisdom teeth, also known as third molars, usually emerge between the ages of 17 and 25. As they develop, many people wonder if these teeth will disrupt their orthodontic progress or require removal before starting treatment. In this blog, we’ll explore the impact of wisdom teeth on orthodontics and what you should know if you’re considering braces or Invisalign.
What Are Wisdom Teeth?
Wisdom teeth are the last set of molars to develop in the mouth. While they were once essential for our ancestors who needed extra teeth for grinding tough foods, today, wisdom teeth often create more problems than they solve. As human diets and jaw sizes have evolved, many people don’t have enough space in their mouths for these late-emerging molars, which can lead to complications.

Can Wisdom Teeth Affect My Orthodontic Treatment?
Wisdom Teeth and Crowding
One of the biggest concerns patients have is whether wisdom teeth can cause crowding or shift the results of their orthodontic treatment. Although many believe that wisdom teeth push on the other teeth, causing them to shift, research suggests that wisdom teeth alone do not exert enough force to cause significant crowding of the front teeth. However, if you’re already prone to overcrowding, your orthodontist will keep an eye on your wisdom teeth during treatment.
There is a phenomenon called late mandibular crowding. In some cases, it happens around the same time the wisdom teeth erupt. Late mandibular crowding occurs when the lower front teeth become misaligned due to natural changes in the jaw’s growth and structure over time. While not always directly caused by wisdom teeth, it can coincide with their eruption, contributing to the perception that wisdom teeth are to blame.
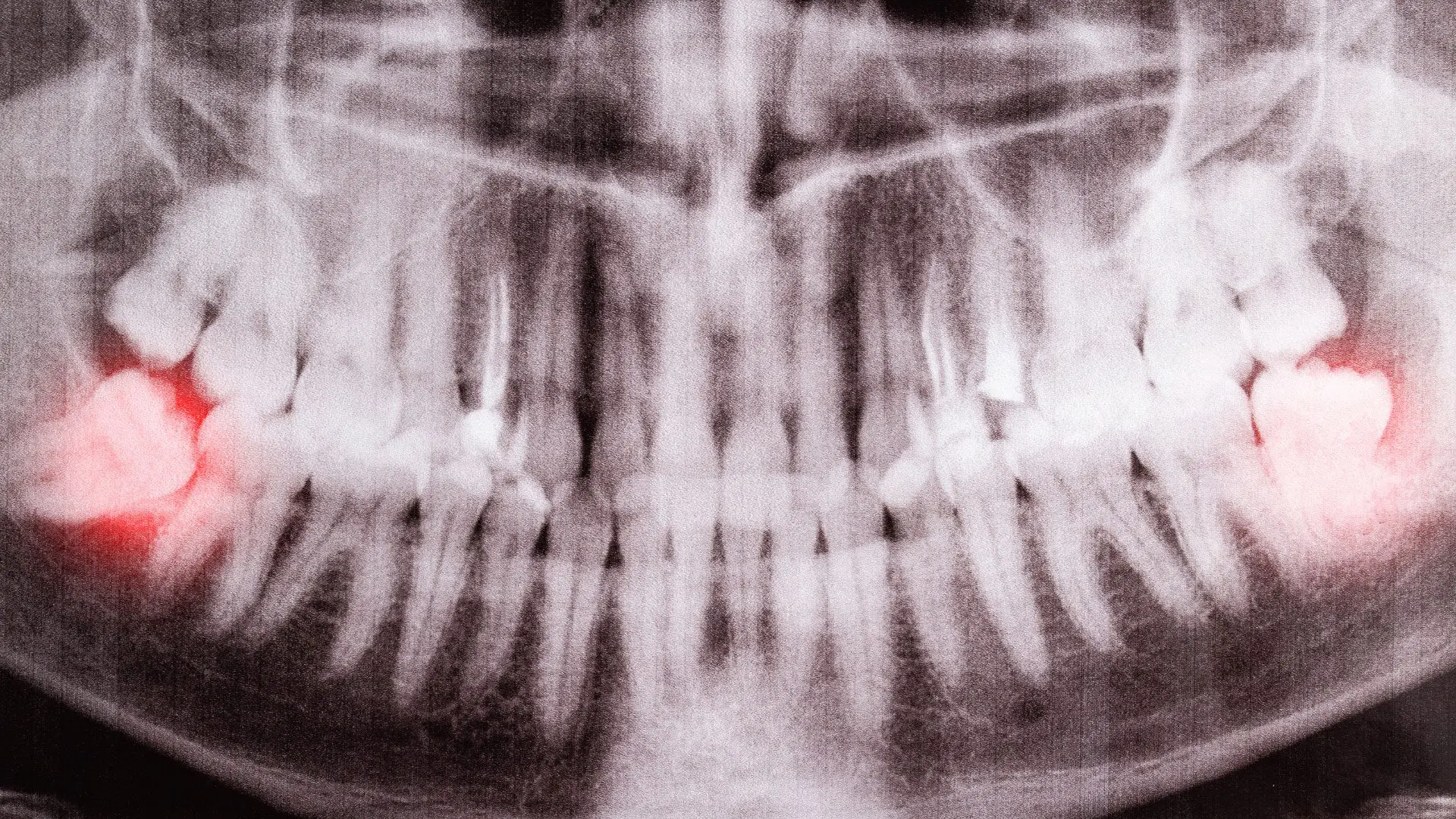
How Wisdom Teeth Affect Alignment and Impaction
Wisdom teeth often become impacted, meaning they don’t fully emerge from the gums or grow in at an improper angle. Impacted wisdom teeth can cause discomfort, swelling, and even infection. In these cases, impacted wisdom teeth could potentially disrupt orthodontic progress or cause resorption on the far side of the second molars. Your orthodontist may recommend removing impacted wisdom teeth to prevent these issues.
Should Wisdom Teeth Be Removed Before Orthodontic Treatment?
Consult your orthodontist about whether your wisdom teeth should be removed before starting orthodontic treatment, as this may vary from patient to patient. Some individuals may need to keep their wisdom teeth to achieve a more ideal orthodontic treatment, while others may need them removed to ensure the success of their braces or Invisalign treatment. Here are a few factors to consider:
1. Available Space in the Mouth
If your orthodontist determines that there’s not enough space for wisdom teeth to emerge without impacting other teeth, removal may be suggested before or after orthodontic treatment. This is particularly common in patients with smaller jaw sizes.
2. Current Condition of Wisdom Teeth
If wisdom teeth are still developing and are not causing any immediate problems, your orthodontist may monitor their growth throughout your treatment. In this case, extraction may not be necessary before getting braces or Invisalign.
3. Age and Timing
If you’re in your late teens or early twenties and have already started orthodontic treatment, your orthodontist will assess the status of your wisdom teeth to decide whether removal is necessary. In some cases, the wisdom teeth are left alone until after orthodontic treatment is complete.
Can Wisdom Teeth Undo Orthodontic Results?
A common concern among those who have completed orthodontic treatment is whether wisdom teeth can undo the results, especially in cases where the teeth start to shift. While wisdom teeth are not typically the main cause of post-treatment shifting, they can contribute to alignment issues if they become impacted or infected.
The best way to protect the results of your orthodontic treatment is by wearing a retainer as prescribed by your orthodontist. Retainers help keep teeth in their new positions, preventing any natural shifting that may occur over time.
What Happens if I Need My Wisdom Teeth Removed After Orthodontic Treatment?
If your doctor determines that your wisdom teeth need to be removed after completing braces or Invisalign, the extraction process should not negatively impact your straightened teeth. Please wear your retainers for 48 hours after the removal of your wisdom teeth. If you’re having issues with your retainers, please consult with your orthodontist. Your orthodontist will provide specific instructions for post-extraction care to ensure that your alignment remains intact.
Consult Your Orthodontist About Your Wisdom Teeth
Wisdom teeth can play a role in your orthodontic treatment, but the degree of their impact varies from person to person. The best way to manage wisdom teeth is by working closely with your orthodontist, who can monitor their development and advise on whether extraction is necessary.
If you have any concerns about your wisdom teeth or how they might affect your orthodontic treatment, contact us at Daia Orthodontics & TMJ Orthopedics. We’re here to guide you through every step of your smile transformation, from wisdom teeth evaluations to successful orthodontic care.




